Blog

Shortness of Breath: When It’s a Sign of Heart Disease
Shortness of breath, or difficulty breathing, is something most people experience at some point. It might happen after intense exercise, during high altitudes, or when

What to Expect During a Coronary Angiogram
A coronary angiogram is a diagnostic procedure used to visualize the arteries that supply blood to the heart. It is commonly performed to detect blockages

Heart Palpitations: What They Mean and When to Get Checked
Feeling your heart skip a beat, flutter in your chest, or race without warning can be an unsettling experience. These sensations, known as heart palpitations,

Symptoms of Atrial Fibrillation and When to See a Doctor
Atrial fibrillation, often called AFib, is a type of irregular heartbeat that affects millions of people each year. It occurs when the upper chambers of

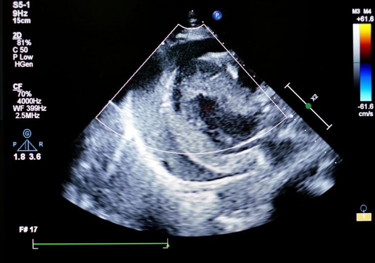
How an Echocardiogram Helps Detect Heart Problems
An echocardiogram is one of the most widely used tools in cardiology and for good reason. It offers a safe, noninvasive way to evaluate the

What Does Chest Pain Really Mean? Common Causes Explained
Chest pain is one of the most alarming symptoms a person can experience. Because the heart is located in the chest, people often assume the